SABCS 2020 中国之声丨王中华教授团队两项探索三阴性乳腺癌生物标记物研究介绍

作者:肿瘤瞭望   日期:2020/12/14 11:37:24  浏览量:12348

肿瘤瞭望版权所有,谢绝任何形式转载,侵犯版权者必予法律追究。

编者按:大约15-20%的乳腺癌患者为三阴性乳腺癌(TNBC),由于缺乏有效靶点、复发转移风险高,被认为是预后最差的乳腺癌类型。经过多年攻关, 针对“最毒、最凶险”的TNBC,复旦大学附属肿瘤医院邵志敏教授团队2019年成功绘制出全球最大的TNBC基因图谱,首次提出“复旦四分型”——腔面雄激素受体型、免疫调节型、基底样免疫抑制型和间质型。在该项研究的基础上,2020年团队公布了针对经历过多轮治疗后病情仍然进展难治性TNBC的精准治疗—FUTURE“伞形”结果,通过精准“复旦分型”为患者有的放矢选用合适靶向药物,大大提升难治性乳腺癌的疗效,免疫调节型和部分基底样免疫抑制型患者改善显著。但有些类型疗效仍然不尽人意,王中华教授及其团队成员积极探索新的生物标记物,优化TNBC的精准治疗策略。现对两项入选SABCS 2020大会壁报展示的两篇摘要进行汇报。

篇一

摘要号PS6-21:High expression of MicroRNA-223 indicates better prognosis in triple negative breast cancer

三阴乳腺癌高表达microRNA-223提示良好预后


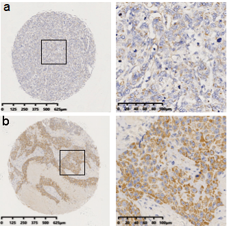
MicroRNA(miRNA)是一系列单链非编码RNA,是转录后基因表达网络中的关键调控因子,影响众多生物学过程,有望成为重要的肿瘤生物标志物。MicroRNA-223(miR-223)位于X染色体的q12,其表达水平与肿瘤疾病进展之间的关系尚未达成共识。我们收集了2003-2007年在复旦大学附属肿瘤医院接受手术的450例乳腺癌标本并构建了组织微阵列(TMA),结合原位杂交(ISH)技术检测miR-223在乳腺癌中的表达水平(图1)并评估其预后价值。


在该队列中,Luminal A型、Luminal B型、HER2过表达型和三阴性乳腺癌分别占22%,24%,20.67%和33.33%,其中36.66%(165/450)的乳腺癌为miR-223高表达。miR-223的表达状态与组织分化、肿瘤大小、ER/PR/HER2的表达状态等临床病理特征之间未发现显著关联。


图1.乳腺癌中miR-223的表达示例。左:低倍镜,右:高倍镜;上:低表达,下:高表达


截至2018年3月,共有20.22%(91/450)的患者出现疾病复发或转移。在这91例患者中,85.71%(78/91)患者miR-223低表达。进一步Kaplan-Meier分析显示,miR-223高表达组的OS和DFS明显高于低表达组(p值分别为p<0.001,p=0.017,图2)。miR-223低表达组的5年DFS和OS率(分别为76.24%和90.43%)显著低于miR-223高表达组(分别为94.35%和95.79%)。随后亚组分析表明,在TNBC亚组中,miR-223高表达组的OS和DFS均明显优于低表达组(p值分别为p=0.046,p<0.001),而在其他亚组中未见显著差异。同样的结论在METABRIC和TCGA数据库中得到验证。


图2.乳腺癌患者miR-223表达的Kaplan-Meier曲线。左:所有BC,右:TNBC


单因素和多因素Cox回归分析显示miR-223表达水平在三阴性乳腺癌中为DFS和OS的独立危险因素。这项研究表明在miR-223高表达在乳腺癌患者(尤其是TNBC患者)中,提示良好预后。MiR-223有望成为TNBC有效且独立的预后生物标志物。


篇二

PARP inhibitor in the treatment of BRCA1 mutant triple negative breast cancer

联合PARP和CDK4/6抑制剂治疗BRCA突变型三阴性乳腺癌的疗效探索


PARP抑制剂(PARPi)是PARP家族DNA修复酶的小分子抑制剂,能抑制BRCA1/2功能缺失细胞的同源重组修复导致肿瘤合成致死。PARPi奥拉帕尼已被FDA批准用于治疗BRCA1/2突变且HER2阴性的转移性BC。但是,临床上发现BC尤其是TNBC患者对PARPi的耐药问题突出。在我们中心针对晚期TNBC的FUTURE临床试验中,三名患有胚系BRCA1/2突变并接受PARPi治疗的TNBC患者均在第一次疗效评估时进展。进一步优化联合治疗策略,解决临床耐药问题将成为PARPi的研究重点。


以往有研究报道CDK4/6抑制剂(CDK4/6i)可阻止多种DNA损伤恢复。我们首次尝试探索联合PARPi和CDK4/6i治疗TNBC的疗效(图3)。


图3.联合用药下细胞活力和形态的变化


我们从现有的BRCAmut/TNBC细胞系中筛选了对PARPi敏感(MDA-MB-436)和原发耐药(HCC1937)的细胞株,并通过逐渐增加PARPi浓度来培养获得性耐药细胞株。在体外细胞实验和体内小鼠实验中,我们首次证实PARPi和CDK4/6i联合治疗对上述BRCAmut/TNBC具有协同作用(图4),其联合指数(CI)均小于0.9。


图4.药物处理下细胞的抑制率和药物组合指数。颜色代表抑制率,数值代表CI


后续的细胞实验证实,PARPi单药可抑制敏感细胞的增殖和迁移,并增加细胞凋亡和DNA损伤。不同于敏感细胞株,在PARPi耐药的BRCAmut/TNBC细胞HCC1937中,只有同时抑制CDK4/6和PARP才能显著抑制细胞生长(图5)。


图5.单独或联合使用PARPi或CDK4/6i下细胞增殖曲线。

在一些特定BRCAmut/TNBC中,即使是在PARPi耐药的细胞中,PARPi与CDK4/6i这样的药物组合也具有协同作用。我们的数据为今后联合PARPi和CDK4/6i治疗对PARPi单药治疗耐药的BRCAmut/TNBCs提供了一定基础依据。


专家简介

王中华

复旦大学附属肿瘤医院乳腺外科副主任

主任医师,硕士生导师

上海市抗癌协会乳腺癌专业委员会副主任委员

中国医师协会肿瘤医师分会乳腺癌学组委员

中国研究型医院学会精准医学与肿瘤MDT专业委员会乳腺学组副主任委员

中国老年肿瘤专业委员会乳腺癌分委会常务委员

上海市抗癌协会癌症康复与姑息治疗专委会委员

上海市抗癌协会实体肿瘤聚焦诊疗专业委员会委员

上海市女医师协会医学科普专委会常务委员


陈力

复旦大学附属肿瘤医院乳腺外科住院医师,医学博士

师从著名乳腺癌专家邵志敏教授

2007年起从事乳腺肿瘤专业,擅长乳腺良恶性肿瘤的诊治,乳腺癌个体化综合治理以及乳腺癌治疗的全程管理

科研方面主要从事乳腺癌临床及基础研究,参与多项国家自然基金,发表SCI收录论文十余篇,收录《自然—通讯》等杂志


朱秀之

复旦大学附属肿瘤医院,肿瘤学硕士

主要研究方向:三阴性乳腺癌靶向治疗

已发表学术及SCI论文3篇,已获3次壁报展示

2020年复旦大学优秀学生,曾荣获国家奖学金、省优秀毕业生称号

本内容仅供医学专业人士参考


乳腺癌

分享到: 更多